ask.สิวววววว
22 ก.ย. 57 12:31 น. /
ดู 647 ครั้ง /
4 ความเห็น /
0 ชอบจัง
/
แชร์
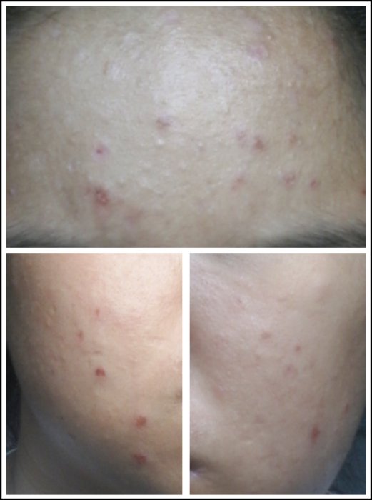
- สิวอะไร
- ใช้อะไรถึงจะหาย
- วิธีรักษา
ป.ล ตอนนี้ใช้เเอคเน่เอดสีฟ้าอยู่ค่ะ ควรจะเปลี่ยนหรือใช้ต่อดี
- ใช้อะไรถึงจะหาย
- วิธีรักษา
ป.ล ตอนนี้ใช้เเอคเน่เอดสีฟ้าอยู่ค่ะ ควรจะเปลี่ยนหรือใช้ต่อดี
เลขไอพี : ไม่แสดง
มุมสมาชิก กระทู้ล่าสุดโดย ข้าวเหนียวไก่ทอด
- ask.สิววมาเยือน (สุขภาพและความงาม)
- ask.สิวเห่อ (สุขภาพและความงาม)
- ช่วยด้วย! บีบสิวจนเป็นแผลหน้าเกียจมากก (สุขภาพและความงาม)
- ask. รอยเเดงจากสิว (มีรูป) (สุขภาพและความงาม)
- ask.ช่วยเลือกโทรศัพท์หน่อย (เทคโนโลยี)
- ask พี่ชาย (ความรัก)
- กระทู้โดย ข้าวเหนียวไก่ทอด ทั้งหมด
แสดงกระทู้ล่าสุดโดยเปิด มุมสมาชิก และเลือกแสดงกระทู้ที่ตั้ง
อ่านต่อ คุณอาจจะสนใจเนื้อหาเหล่านี้ (ความคิดเห็นกระทู้ อยู่ด้านล่าง)
ความคิดเห็น
เหมือนแพ้อะไรมาเลยค่ะ ไม่มีหัวสิว สิวอุดตันนะ เค้าคิดว่า
Line : munoiiikatz ปรึกษาได้ค่ะ จะได้สอบถามให้ละเอียดๆค่ะ
ไอพี: ไม่แสดง
ครีมเอวาเต้ช่วยได้แน่นอนค่ะ
เราแนะนำเลย
https://www.facebook.com/AvateSkin
ไอพี: ไม่แสดง
จะต้องเป็นสมาชิกจึงจะแสดงความคิดเห็นได้
เป็นสมาชิกอยู่แล้ว ลงชื่อเข้าใช้ระบบ
ยังไม่ได้เป็นสมาชิก สมัครสมาชิกใหม่
หรือจะลงชื่อเข้าใช้ระบบด้วย Google หรือ Facebook ก็ได้
ลงชื่อเข้าใช้ระบบด้วย Facebook
ลงชื่อเข้าใช้ระบบด้วย Google
เป็นสมาชิกอยู่แล้ว ลงชื่อเข้าใช้ระบบ
ยังไม่ได้เป็นสมาชิก สมัครสมาชิกใหม่
หรือจะลงชื่อเข้าใช้ระบบด้วย Google หรือ Facebook ก็ได้
ลงชื่อเข้าใช้ระบบด้วย Facebook
ลงชื่อเข้าใช้ระบบด้วย Google


